4 Dec, 2025

Day
並べ替え
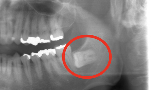
埋没した「親知らず」の摘出手術を受けました!

埋没した「親知らず」の摘出手術を受けました!

突然ですが皆さんは「親知らず」生えていますか??僕は3本はすでに抜歯していて、残り1本は残っている状態でした。 なぜ1本だけ残っているか・・・それは歯茎の中に完全に埋まっていて(しかも横向き)簡単には抜歯することができなかったからです。(既...